Doç. Dr. Hülya Çaşkurlu
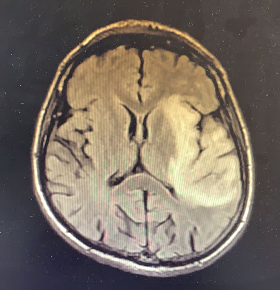
Elli dört yaşında HIV enfeksiyonu tanısıyla bir aydır antiretroviral tedavi (ART) alan erkek hasta, bir haftadır devam eden ateş yüksekliği, üşüme, titreme, bulantı, kusma, iştahsızlık yakınmaları ile kliniğimize başvurdu. FM’de genel durumu orta, şuuru açık, uykuya meyilli, oryante-koopere ve Glaskow koma skalası (GKS) 15 idi. Meningeal irritasyon bulguları negatifti. Dinlemekle solunum sesleri sağ bazalde azalmıştı ve bilateral orta zonda ralleri mevcuttu. Laboratuvarda lökosit sayısı 13.100/uL (%79 PNL) ve CRP 143 mg/L (<5 mg/L), HIV-RNA 718 kopya/ml, CD4 T lenfosit sayısı 126 /mm3 olarak belirlendi. Diğer kan tetkikleri normaldi. Hastanın kontrastlı kranial MR görüntülemesinde sol medial temporal lob düzeyinde, insular kortekste FLAIR sekansta ve diffüzyon ağrılıklı serilerde hiperintens sinyal değişiklikleri izlendi. Sol hipokampusta insüler kortekste kortikal ödem eşlik etmekte olup, her iki singulat girus düzeyinde korteks boyunca lineer difüzyon parlaklığı izlendi (Resim 1). Hastanın beyin omurilik sıvısında (BOS) incelemesinde hücre görülmedi. BOS kültüründe üreme olmadı, mikobakteri-PCR ve viral-bakteriyel menenjit paneli negatif idi.

Hastanın PPD testi 5 mm olarak saptandı. Toraks BT’sinde, sağda daha belirgin olmak üzere bilateral efüzyon, mediastinal bilateral hiler lenfadenopati ve bilateral alt loblarda pnömonik konsolidasyon oluşturan yaygın buzlu cam dansiteleri izlendi. Hastaya Mycobacterium tuberculosis enfeksiyonu ön tanısıyla izoniazid, rifampisin, ethambutol, pirazinamid tedavisi başlandı. Takiplerinde yakınmaları gerileyen hasta anti-tüberküloz tedavi ile taburcu edildi.
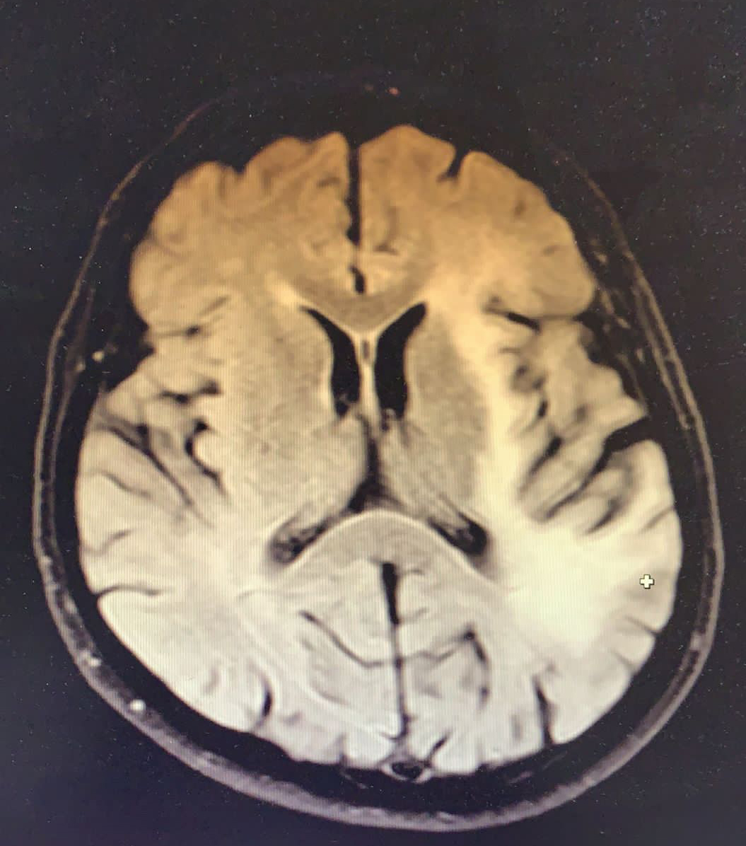
Tedavinin ikinci ayında hasta kliniğimize yaklaşık iki haftadır olan konuşma bozukluğu yakınması ile başvurdu. Fizik muayende genel durumu iyi, şuuru açık, konuşması afazikti. Basit ve tekli emirleri yerine getirebiliyordu. GKS 15 olan hastada sağ kol ve bacakta kas gücü 4/5 idi, duyu defisiti saptanmadı. Yapılan kontrastlı kranial görüntüleme bir önceki kranial MRG tetkiki ile kıyaslandığında eski tetkikte lezyonun insular korteksle sınırlı olduğu güncel incelemede ise kısa sürede belirgin progresif değişiklikler geliştiği şeklinde raporlandı (Resim 2).

Soru 1. Hastada aşağıdakilerden hangisi olası tanıda öncelikle düşünülmez?
Kaynaklar
- EACS Guidelines, Version 11.0, October 2021. European AIDS Clinical Society
- Progressive multifocaleukoencephalopathy https://clinicalinfo.hiv.gov/en/guidelines/adult-and-adolescent-opportunistic-infection/progressive-multifocal