Doç. Dr. Gönül ÇİÇEK ŞENTÜRK
Elli iki yaşında erkek hasta, 12.05.2021 tarihinde, acil servise dört gün önce başlayan halsizlik, öksürük, nefes darlığı şikayetleri ile getiriliyor. Hasta son dört gündür de idrar miktarının azaldığını ifade ediyor. Özgeçmişinde bilinen hastalık ve ilaç kullanım öyküsü olmayan hastanın, kronik alkol kullanımı mevcut. Sigara içmiyor. Hastanın son üç ayda antibiyotik kullanım öyküsü ve hastaneye yatış öyküsü yok. Hasta işi nedeni ile de sürekli şehirler arası seyahat ettiğini otelde konakladığını ifade ediyor. COVID 19’lu hasta ile temas öyküsü yok.
Fizik muayenesinde TA: 130/70 mmHg, Ateş: 36 ºC, Nabız: 88/dk/ritmik, SS: 23/dk, oda havasında SO2: 86, 6 L/dk oksijen desteği ile saturasyon >93 olarak saptanıyor. Hastanın dinlemekle sol akciğer bazalinde krepitasyonları belirleniyor. Başka patolojik fizik muayene bulgusu saptanmıyor.
Hastanın geliş laboratuar değerleri:
- BK: 26800 /µL (3.570-11.000)
- HGB: 14.9 gr/dL (13.2-17.3)
- Plt:180000 /µL (150000- 372000)
- KŞ: 98 mg/dL (74-106)
- Üre: 226 mg/dL (19-49)
- Kreatin: 9.56 mg/dL (0.7-1.2)
- AST: 261 U/L (0-40)
- ALT: 261 U/L (0-41)
- T.Bilirubin: 1.55 mg/dL (0- 1.2)
- D.Bilirubin: 1.37 mg/dL (0- 0.3)
- Na:125 mEq/L (136-145)
- K: 3.98 mEq/L (3.5-5.1)
- Ca: 6.42 mg/dL (8.6-10.2)
- Prokalsitonin: 49 µg/L (<0.05)
- CRP: 228 mg/L (0-5)
- D-dimer: 4.85 ng/mL (0- 0.5)
Hastanın ilk alınan SARS–CoV-2 PCR sonucu negatif, balgam veremeyen hastanın, kan ve idrar kültürleri alınıyor.
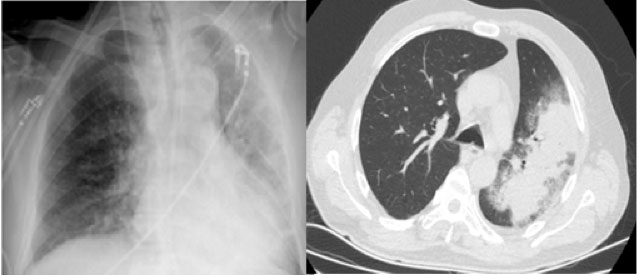
Toraks BT raporu: Sol akciğer üst ve alt lobu yaygın etkileyen içerisinde hava bronkogramları çevresinde buzlu cam dansitesinde alanların eşlik ettiği konsolidasyon alanı izlenmiştir. Ayrıca bu alanlara eşlik eden intralobüler septal kalınlaşmalar ve sentriasiner nodüller dikkati çekmiştir. Bulgular enfeksiyon ile uyumludur. Bakteriyel ve viral nedenler ayırıcı tanıda yer almalıdır.
Nefroloji tarafından hemodiyaliz planlanan hastaya, acil serviste favipravir + meropenem + linezolid tedavisi başlanıyor. Hasta COVID -19 yoğun bakım ünitesine yatırılıyor. Hastanın acil polikliniğine başvurusunda çekilen PA akciğer grafisi ve toraks BT’si Şekil 1’de görülmektedir.

Şekil 1: Hastanın acil polikliniğine başvurusunda çekilen PA akciğer grafisi ve toraks BT’si

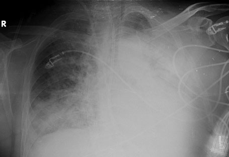
Şekil 2: Tedavinin 3. gününde çekilen PA akciğer grafisi
Yukarda verilen bilgiler doğrultusunda bu hastanın ilk 24 saatteki yönetimi ile ilgili aşağıdakilerden hangisi en uygundur?
A. COVID-19 düşünülen hastaya antibiyotik başlanmasına gerek yoktur.
Hastanın alınan ilk SARS-CoV-2 PCR’ı negatif, prokalsitonin çok yüksek, toraks BT’de “Sol akciğer üst ve alt lobu yaygın etkileyen içerisinde hava bronkogramları çevresinde buzlu cam dansitesinde alanların eşlik ettiği konsolidasyon alanı izlenmiştir. ”. Bu durum bakteriyel enfeksiyon ihtimalini de akla getirmelidir. Dolayısı ile bu hastaya ampirik antibiyotik başlanması gerekirdi. (her ne kadar COVİD-19’un ileri evrelerinde de konsolide alanlar görülse de)
B. Başlanan antibiyoterapinin atipik pnömoni etkenlerini de kapsaması gerekir idi.
Erişkinlerde Toplumda Gelişen Pnömoniler Tanı ve Tedavi Uzlaşı Raporu 2021. https://toraks.org.tr/site/community/library/3
Tedavinin atipik etkenleri de kapsaması gerekirdi. Türk Toraks Derneği Erişkinlerde Toplumda Gelişen Pnömoniler: Tanı ve Tedavi Uzlaşı Raporu ‘na göre (alttaki paragrafta görüldüğü gibi) hastada görüldüğü kadarı ile MRSA ve Pseudomonas spp. için risk faktörü yoktur. Bu hastaya 3. kuşak sefalosporin/beta-laktam&betalaktamaz inhibitörü + solunum florokinolonu da yeterli olabilirdi. Yoğun Bakıma yatan hastaya atipik etkenlere yönelik solunum yolu florokinolonu veya makrolid grubu antibiyotik başlanması gerekirdi.
C. Başlanılan antibiyoterapinin spektrumunun MRSA ve Pseudomonas spp.’yi kapsaması uygun olmuştur
Erişkinlerde Toplumda Gelişen Pnömoniler Tanı ve Tedavi Uzlaşı Raporu 2021. https://toraks.org.tr/site/community/library/3
“Hastaneye yatan hastalar için empirik antibiyotik seçiminde, dirençli enfeksiyon (Pseudomonas aeruginosa, genişlemiş sprektrumlu beta laktamaz (GSBL) üreten enterik Gram negatif basiller, Stenotrophomonas maltophilia, MRSA) için risk faktörlerinin değerlendirilmesi gereklidir. Bu risk faktörleri, hastada son altı ay içinde bu bakterilerin solunum örneklerinden izole edilmiş olması, son 3 ayda antibiyotik kullanılması ve son 3 ayda hastaneye yatış öyküsü olmasıdır. Bu risk faktörlerine sahip olgularda dirençli etkenlere bağlı enfeksiyon riski yüksektir. Bu durumda, bu risk faktörlerini taşımayan hastalara öncelikle anti-Pseudomonas etkinliği olmayan betalaktam-betalaktamaz inhibitörü ya da anti-Pseudomonas etkinliği olmayan 3. kuşak sefalosporinler (seftriakson ve sefotaksim) ile birlikte makrolid; risk faktörü taşıyan hastalara, geniş spektrumlu, anti-Pseudomonas etkili bir antibiyotik ile birlikte makrolid tedavisi başlanması önerilmektedir.” Hastanın son 3 ayda hastanede yatma ya da antibiyotik kullanım öyküsü yok, son 6 ayda da balgam kültürü yoktur. Dolayısı ile bu hastaya antibiyotik gereğinden fazla geniş başlanmıştır.
D. Hastaya acilen anti-sitokin tedavisi başlanması uygun olurdu.
COVID-19 (SARS-CoV-2 Enfeksiyonu) Antisitokin-Antiinflamatuar Tedaviler, Koagülopati Yönetimi https://covid19.saglik.gov.tr/TR-66341/antisitokin-antiinflamatuar-tedaviler-koagulopati-yonetimi.html
Sağlık Bakanlığını yukarda linki verilen rehberinde; “Solunum sıkıntısı nedeniyle oksijen tedavisi desteği ihtiyacı olan hastalarda 6 mg/gün deksametazon veya 0.5-1 mg/kg prednisolon veya eşdeğeri metilprednisolon 10 gün kadar kullanılabilir. Bu tedaviye rağmen 24 saat içinde oksijen ihtiyacı artan veya akut faz yanıtı artan hastalarda, hastanın risk faktörleri göz önüne alınarak, daha yüksek dozda glukokortikoid (pulse ≥250 mg/gün metil prednizolon) verilmesine karar verilebilir. Yüksek doz glukokortikoid tedavisi vaka bazında, bazı durumlarda sorumlu hekimin ve/veya romatoloji uzmanının önerisi ile 3 güne kadar kullanılabilir. Yüksek doz steroid uygulaması sonrasında 6 mg/gün deksametazon veya 0.5-1 mg/kg prednisolon veya eşdeğeri metilprednisolon ile tedaviye devam edilmelidir. En az 3 gün süreyle kullanılan glukokortikoid tedavisine cevap vermeyerek inflamasyon bulguları devam eden olgularda ya da çok hızlı ilerleyen ciddi MAS tablolarında anti-sitokin ilaçların kullanılması düşünülmelidir.” İbaresi geçmektedir.
Ayrıca ;https://www.uptodate.com/contents/covid-19-management-in-hospitalized-adults : ‘de
“Yüksek akışlı oksijene veya daha yoğun solunum desteğine ihtiyaç duyan bireyler için bir seçenek olarak tosilizumab (tek intravenöz doz olarak 8 mg/kg) önerilir. İlaç temini izin veriyorsa, deksametazon başlanmasına rağmen klinik olarak yüksek akışlı oksijene doğru ilerliyorlarsa ve önemli ölçüde yüksek inflamatuar belirteçleri varsa, düşük akışlı oksijen takviyesi alan seçilmiş hastalar için bir seçenek olarak vaka bazında tosilizumab önerilir. (örn., CRP seviyesi ≥75 mg/L). Daha spesifik olarak, bu tür hastalara COVID-19 ile ilgili nedenlerle giderek daha fazla oksijen gereksinimleri varsa, ancak oksijen gereksinimleri stabil değilse veya solunum dekompansasyonunun diğer nedenlerinden dolayı kötüleşiyorsa tosilizumab verilebilir. Genellikle tosilizumabın hastanede yattıktan sonraki 96 saat içinde veya YBÜ düzeyinde bakımın başlamasından sonraki 24 ila 48 saat içinde olanlar için reserve edilmesi önerilir.”
Bu vakanın oksijen saturasyonu oda havasında 86 olup, 6 L/dk nazal oksijen desteği ile >93 olmaktadır. Hem Sağlık bakanlığı rehberinde hem de Uptodate’de bu hasta için anti-sitokin tedavi ve diğer tedavilerin kullanımı acilen önerilmemekte bir süreç ve algoritma içinde önerilmektedir. Ayrıca hastanın PCT’sinin çok yüksek olması da bakteriyel enfeksiyonu akla getireceğinden acilen başlanması bu açıdan da uygun olmayacaktır.
E. Hastaya acilen konvelesan plazma tedavisi gerekirdi.
COVID-19 (SARS-CoV-2 Enfeksiyonu) Antisitokin-Antiinflamatuar Tedaviler, Koagülopati Yönetimi https://covid19.saglik.gov.tr/TR-66341/antisitokin-antiinflamatuar-tedaviler-koagulopati-yonetimi.html
Sağlık Bakanlığını yukarda linki verilen rehberinde; “Solunum sıkıntısı nedeniyle oksijen tedavisi desteği ihtiyacı olan hastalarda 6 mg/gün deksametazon veya 0.5-1 mg/kg prednisolon veya eşdeğeri metilprednisolon 10 gün kadar kullanılabilir. Bu tedaviye rağmen 24 saat içinde oksijen ihtiyacı artan veya akut faz yanıtı artan hastalarda, hastanın risk faktörleri göz önüne alınarak, daha yüksek dozda glukokortikoid (pulse ≥250 mg/gün metil prednizolon) verilmesine karar verilebilir. Yüksek doz glukokortikoid tedavisi vaka bazında, bazı durumlarda sorumlu hekimin ve/veya romatoloji uzmanının önerisi ile 3 güne kadar kullanılabilir. Yüksek doz steroid uygulaması sonrasında 6 mg/gün deksametazon veya 0.5-1 mg/kg prednisolon veya eşdeğeri metilprednisolon ile tedaviye devam edilmelidir. En az 3 gün süreyle kullanılan glukokortikoid tedavisine cevap vermeyerek inflamasyon bulguları devam eden olgularda ya da çok hızlı ilerleyen ciddi MAS tablolarında anti-sitokin ilaçların kullanılması düşünülmelidir.” İbaresi geçmektedir.
Ayrıca ;https://www.uptodate.com/contents/covid-19-management-in-hospitalized-adults : ‘de
“Yüksek akışlı oksijene veya daha yoğun solunum desteğine ihtiyaç duyan bireyler için bir seçenek olarak tosilizumab (tek intravenöz doz olarak 8 mg/kg) önerilir. İlaç temini izin veriyorsa, deksametazon başlanmasına rağmen klinik olarak yüksek akışlı oksijene doğru ilerliyorlarsa ve önemli ölçüde yüksek inflamatuar belirteçleri varsa, düşük akışlı oksijen takviyesi alan seçilmiş hastalar için bir seçenek olarak vaka bazında tosilizumab önerilir. (örn., CRP seviyesi ≥75 mg/L). Daha spesifik olarak, bu tür hastalara COVID-19 ile ilgili nedenlerle giderek daha fazla oksijen gereksinimleri varsa, ancak oksijen gereksinimleri stabil değilse veya solunum dekompansasyonunun diğer nedenlerinden dolayı kötüleşiyorsa tosilizumab verilebilir. Genellikle tosilizumabın hastanede yattıktan sonraki 96 saat içinde veya YBÜ düzeyinde bakımın başlamasından sonraki 24 ila 48 saat içinde olanlar için reserve edilmesi önerilir.”
Bu vakanın oksijen saturasyonu oda havasında 86 olup, 6 L/dk nazal oksijen desteği ile >93 olmaktadır. Hem Sağlık bakanlığı rehberinde hem de Uptodate’de bu hasta için anti-sitokin tedavi ve diğer tedavilerin kullanımı acilen önerilmemekte bir süreç ve algoritma içinde önerilmektedir. Ayrıca hastanın PCT’sinin çok yüksek olması da bakteriyel enfeksiyonu akla getireceğinden acilen başlanması bu açıdan da uygun olmayacaktır.
Tedavinin 3. gününde dispnesi devam eden ancak genel durumu kısmen düzelen hastaya kontrol PA akciğer grafisi çekildi (Şekil 2). 24 saat ara ile alınan 2 adet SARS-CoV-2 PCR sonucu negatif geldi. Kan ve idrar kültüründe üreme olmadı. Anti-HIV negatif geldi. Başlanılan antibiyotik tedavisine de yanıt alınamayan hastada ek tetkik istemeye gerek var mıdır? Var ise mevcut şartlar içinde aşağıdakilerden hangisi veya hangileri en öncelikli seçenek olur.
- Pneumocystis jirovecii pnömonisi (PCP) için tetkikler yapılmalıdır.
- İdrarda legionella antijeni bakılmalıdır.
- İdrarda pnömokok antijeni bakılmalıdır.
- İnvaziv pulmoner aspergilloz açısından tetkik edilmelidir.
- Solunum yolu diğer viral patojenleri için PCR bakılmalıdır.
Aşağıda verilen seçenekler açısından değerlendirildiğinde hastada ilk etapta en muhtemel tanı sizce ne olabilir?
Tüberküloz hastalığı
Bu hastanın kliniği akut başlangıçlı ve çok hızlı ilerlemiştir. İlk etapta tüberküloz düşünülmez. Ancak tanı koyulamaz ve tedaviye yanıt vermez ise daha sonraki basamaklarda düşünülebilir.
Pnömokok pnömonisi
Pnömokok pnömonisi tedavisini de içeren antibiyotik hastaya acil polikliniğinde başlanmıştır ve tedaviye yanıt alınamamıştır.
PCP pnömonisi
Hastanın altta yatan bir ümmun sistem bozukluğu yoktur. PCP ve CMV bu açıdan ilk etapta düşünülmez.
Legionella pnömonisi
Her ne kadar COVID-19 hem klinik hem de laboratuvar olarak geniş bir yelpazede seyretse de otelde konaklama, hiponatremi, yüksek lökosit, yüksek prokalsitonin olması da öncelikle leginonella pnömonisini akla getirir.
CMV pnömonisi
Hastanın altta yatan bir ümmun sistem bozukluğu yoktur. PCP ve CMV bu açıdan ilk etapta düşünülmez.










